診療科目
- TOP
- 診療科目
矯正歯科
高度で専門性の高い矯正歯科治療を行います。
資格・所属学会等
-
- 小児矯正治療:混合歯列期(7歳~)
- 成人矯正治療:永久歯列期(14歳~)
- 外科矯正治療:永久歯列期(16歳~)
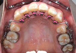
目立ちにくい矯正歯科治療
・舌側矯正歯科治療:裏側の装置(14歳~)

院長自身がアメリカ矯正歯科学会雑誌に報告した、上の前歯のみ裏側の装置を装着する方法です。
これにより舌の快適性が向上し、調節のときに口を開ける時間も短縮。治療費も安く抑える事ができます。Yanagita et. al., American Journal of Orhtodontics and Dentofacial Orthopedics誌, 2014年掲載
その他にも舌側矯正治療や歯科矯正用アンカースクリューを用いた矯正治療の豊富な経験・業績があります。
矯正治療の一般的なリスク
① 最初は矯正装置による不快感、痛み等があります。数日間~1、2 週間で慣れることが多いです。
② 歯の動き方には個人差があるため、予想された治療期間より延長する可能性があります。
③ 装置の使用状況、顎間ゴムの使用状況、定期的な通院等、矯正治療には患者さんの協力が不可欠であり、治療結果や治療期間に影響することがあります。
④ 治療中は、装置が付いているため歯が磨きにくくなり、むし歯や歯周病のリスクが高まります。また、歯が動くと隠れていたむし歯が見えるようになることもあります。
⑤ 歯を動かすことにより歯根が吸収して短くなることがあります。また、歯ぐきがやせて下がることがあります。
⑥ ごくまれに歯が骨と癒着していて歯が動かないことがあります。
⑦ ごくまれに歯を動かすことで神経が障害を受けて壊死することがあります。
⑧ 治療途中に金属等のアレルギー症状が出ることがあります。
⑨ 治療中に「顎関節で音が鳴る、あごが痛い、口が開けにくい」などの顎関節症状が出ることがあります。
⑩ 様々な問題により、当初予定した治療計画を変更する可能性があります。
⑪ 歯の形を修正したり、咬み合わせの微調整を行ったりする可能性があります。
⑫ 矯正装置を誤飲する可能性があります。
⑬ 装置を外す時に、エナメル質に微小な亀裂が入る可能性や、かぶせ物(補綴物)の一部が破損する可能性があります。
⑭ 装置が外れた後、保定装置を指示通り使用しないと後戻りが生じる可能性が高くなります。
⑮ 装置が外れた後、現在の咬み合わせに合った状態のかぶせ物(補綴物)やむし歯の治療(修復物)などをやりなおす可能性があります。
⑯ あごの成長発育によりかみ合わせや歯並びが変化する可能性があります。
⑰ 治療後に親知らずが生えて、凸凹が生じる可能性があります。加齢や歯周病等により歯を支えている骨がやせるとかみ合わせや歯並びが変化することがあります。その場合、再治療等が必要になることがあります。
⑱ 矯正歯科治療は、一度始めると元の状態に戻すことは難しくなります。
資格・所属学会等
-
- 外科的矯正治療
- 口唇口蓋裂、先天性頭蓋顔面形成異常の矯正治療
- *矯正治療の保険適応病名一覧は こちら
小児歯科
子どもたちが痛くない、怖くないのはもちろん、きちっとしっかりとむし歯を治療いたします。
優しい女性歯科医師が、楽しいお話をしながら仲良く子どもたちのむし歯をなおします。
